Cirugía por aneurisma
Una familia denuncia al SES por ocultar una prótesis cerebral y alterar informes médicos tras una operación
El informe pericial de Sergio muestra supuestas irregularidades en su intervención practicada en el Hospital Universitario de Badajoz y posteriores cambios en su historial clínico
El Juzgado de Instrucción número 1 investiga ahora el caso, con la Fiscalía personada en la causa

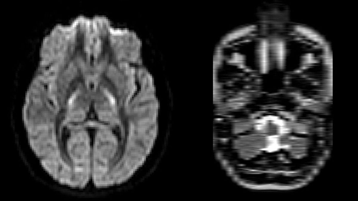
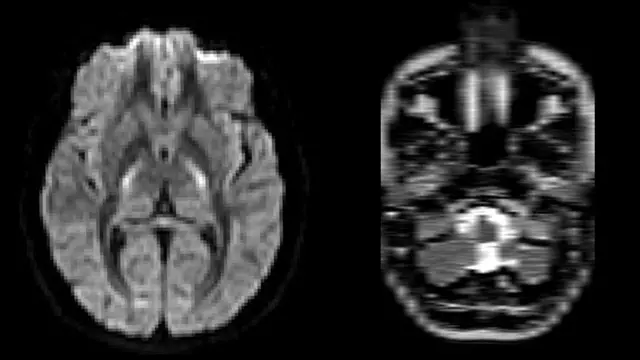
Angiorresonancia cerebral de Sergio D. L., cedida por su familia. La imagen forma parte del material aportado al procedimiento judicial abierto en Badajoz. / Cedida

En 2015, Sergio D. L., un joven de Mérida de 19 años, ingresó en el Hospital Universitario de Badajoz para someterse a una intervención cerebral que, según le explicaron, sería mínimamente invasiva. Los médicos le informaron de que introducirían un catéter por la ingle para colocar una prótesis —un stent— en una arteria y corregir un aneurisma detectado por casualidad durante unas pruebas médicas relacionadas con el insomnio. Sergio soñaba con acabar sus estudios de inglés y trabajar en el extranjero. Aquella mañana entró al quirófano convencido de que todo volvería pronto a la normalidad. Pero nada salió como esperaban. Diez años después, su vida transcurre casi por completo dentro de una habitación, dependiente de sus padres y aquejado de dolores y reacciones físicas que, según los informes periciales, comenzaron tras aquella intervención.
Su caso ahora ha terminado ante la justicia: el Juzgado de Instrucción número 1 de Badajoz mantiene abiertas diligencias previas por posibles delitos de lesiones y falsedad documental, con la Fiscalía personada en el proceso y una solicitud expresa al Servicio Extremeño de Salud (SES) para que entregue la historia clínica auditada.
El "infierno" tras la operación
Tras la operación, nada volvió a ser igual. Según su familia, Sergio comenzó a sufrir fuertes dolores de cabeza, visión doble, caída del cabello y reacciones alérgicas severas apenas días después de recibir el alta. “Decía que sentía que le ardía la cabeza, que le quemaba la piel y que no podía soportar la luz”, recuerda su hermana Cristina D. L.. Pese a las quejas reiteradas, aseguran que los médicos atribuían los síntomas a causas psicológicas y que en ningún momento se realizaron nuevas pruebas para comprobar si la intervención había tenido complicaciones.
La familia sostiene que durante la operación se colocó una prótesis de manera incorrecta, lo que habría provocado una estenosis severa, es decir, un estrechamiento de la arteria que dificulta la irrigación sanguínea en parte del cerebro. También aseguran que se implantó otro stent en una arteria sana, algo que, según el peritaje posterior, no constaba en los informes médicos.
Durante años, la familia asegura que intentó sin éxito que el hospital revisara el caso o reconociera las secuelas. Acudieron, como relatan, a consultas, presentaron reclamaciones y solicitaron reiteradamente el acceso a la historia clínica completa, pero —afirman— las peticiones quedaron sin respuesta o fueron incompletas. “Llevamos diez años pidiendo los informes, las notas de la UCI y las imágenes de la operación, y nunca nos las entregan”, relata Cristina D. L. “Todo lo que tenemos ha sido gracias a insistir y buscar ayuda fuera del sistema público”.
“Llevamos diez años pidiendo los informes, las notas de la UCI y las imágenes de la operación, y nunca nos las entregan”
Esa falta de respuestas los llevó a contactar con la Asociación Defensor del Paciente y, más tarde, con el abogado Carlos Cuadrado Gómez-Serranillos, quien consiguió impulsar un peritaje independiente. El informe, elaborado tras el análisis de las pruebas disponibles, apuntó a posibles irregularidades tanto en la intervención como en la documentación médica posterior, lo que permitió presentar una denuncia penal.
Reclamación del historial clínico
El Juzgado de Instrucción número 1 de Badajoz mantiene abiertas diligencias previas por posibles delitos de lesiones y falsedad documental, con la Fiscalía personada en el proceso. En septiembre, el Ministerio Público requirió al Servicio Extremeño de Salud (SES) la entrega urgente de la historia clínica auditada del paciente, aunque —según la familia— aún no han recibido respuesta. Consultado por este medio, el SES ha indicado que “debido a que el caso se encuentra judicializado, no se realizará ninguna declaración al respecto”.
La familia sostiene que todo comenzó en aquel quirófano y continuó posteriormente. El informe pericial que sustenta la denuncia acredita que se habría producido una estenosis severa. A pesar de ello, en los informes médicos posteriores a la intervención se indicaba que la prótesis se encontraba “correctamente posicionada” y que “no existían hallazgos significativos”.
El informe independiente detalla además otro hallazgo que la familia considera “inexplicable”: la presencia de una segunda prótesis en una arteria sana del lado contrario, en la que no existía ninguna patología. “No sabemos por qué está ahí —lamenta su hermana—. En los documentos médicos no aparece justificación alguna".
Desde entonces, el joven ha sufrido un deterioro progresivo. Los episodios de dolor de cabeza, visión doble, mareos y reacciones cutáneas se han hecho constantes. “Mi hermano no puede estar de pie mucho tiempo, ni mirar la luz. Vive prácticamente a oscuras”, cuenta Cristina, que asegura que ninguno de estos síntomas fue reconocido oficialmente en los informes de seguimiento.

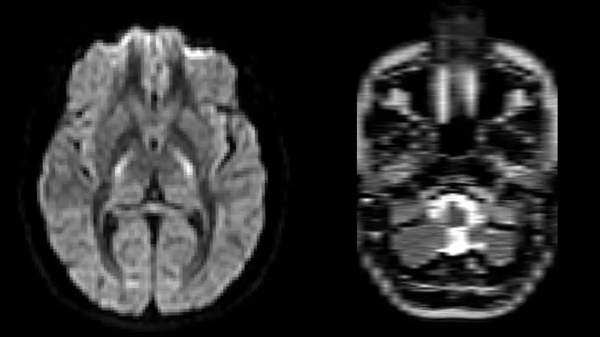
Angiorresonancia cerebral de Sergio D. L. / Cedida
Una década luchando
Con el paso de los años, lo que comenzó como una operación con secuelas se transformó —según la familia— en una batalla contra el silencio administrativo y la alteración de registros médicos. El informe pericial incluye estos hechos- y más- dentro de las supuestas irregularidades documentales y los considera parte del posible delito de falsedad. “No hablamos de una negligencia médica”, subraya Cristina, “sino de algo más grave: años de manipulación y ocultación deliberada".
Conseguir que el caso llegara a los tribunales no fue fácil. La familia asegura que tardó casi ocho años en encontrar a un equipo dispuesto a investigar lo ocurrido. Antes, recorrieron consultas privadas, enviaron resonancias y estudios a especialistas de dentro y fuera de Extremadura, incluso a médicos de Barcelona, en busca de una segunda opinión. Pero todos —afirman— terminaron retirándose.
“Al principio mostraban interés, veían las pruebas y reconocían que algo no cuadraba”, explica Cristina. “Pero en cuanto comprobaban que en los informes oficiales no aparecía nada anormal, se echaban atrás. Nos decían que no podían meterse en eso.” Lo llamaron corporativismo médico. “Era como chocar una y otra vez contra un muro".
La familia acudió también a la Asociación El Defensor del Paciente, que inició un procedimiento administrativo y reclamó al Servicio Extremeño de Salud (SES) la historia clínica completa de Sergio. No hubo respuesta. En paralelo, presentaron solicitudes de acceso y burofaxes por su cuenta, sin resultado. “Nunca entregaron la documentación completa, ni las notas de UCI, ni los consentimientos informados, ni las imágenes íntegras de la operación”, asegura Cristina.
A la espera de que el juzgado avance en la investigación, la familia solo aspira a dos cosas: que se sepa la verdad y que Sergio pueda volver a tener una vida digna. “No queremos revanchas”, insiste Cristina. “Solo que reconozcan lo que pasó y que por fin lo traten. Mi hermano lleva diez años esperando que alguien le escuche".
- El mejor bocadillo de calamares de la región se cocina en Badajoz
- El primer gran santuario de elefantes de Europa estará a 50 minutos de Badajoz
- La entrada a Badajoz de la carretera de Sevilla, cortada para su mejora hasta mediados de 2026
- Aparece fallecida una mujer en la piscina de su casa en Badajoz
- Badajoz se llena de aviones VIP: los jets privados del gran congreso tecnológico de Lisboa aterrizan en la ciudad
- La ermita de la Soledad se cierra este lunes y la imagen de la patrona de Badajoz se traslada a San Agustín
- El edificio Presidente de Badajoz se reinventa: llegan 10 apartamentos turísticos de última generación
- El primer mercado de flores atrae a cientos de personas a la plaza Alta de Badajoz